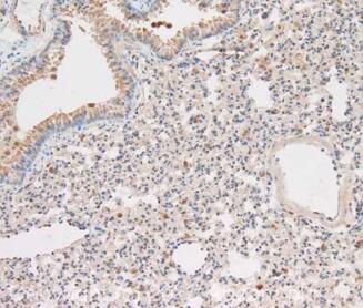
Anti-Caspase-1抗体

期货待确认

¥ 4,579.00 4579.0 CNY ¥ 4,579.00

¥ 4,579.00


    此组合不存在。

    加购物车

    目录号:ab138483

    计量单位:PC

    商品规格:100 µg

    分享商品:
    无规格
    这是用户近期浏览商品预览.
    只要用户查看过一个商品这个片断就会显示.
    近期浏览商品